症例紹介
Case
Case
| 主訴 | 上の総入れ歯が割れる 外れて良く噛めない 見た目を良くしたい |
|---|---|
| 性別 | 女性 |
| 年齢 | 78歳 |
| 治療方法 | インプラント オールオン4 |
| 治療本数 | 12本 |
| 治療費 | 3,300,000円(税込) |
| 治療期間 | 4ヶ月 |
| リスク・副作用 | インプラントに過剰な負荷がかかった場合、ジルコニアの破損や骨吸収が起こることがあります。 |
| 主訴 | 前歯が折れて治したい 他院で歯を抜かなければならないと言われたが残したい |
|---|---|
| 性別 | 女性 |
| 年齢 | 40歳 |
| 治療方法 | 歯保存療法・精密神経治療・骨移植・インプラント・セラミック修復 |
| 治療本数 | 3本(2本歯の保存療法 1本インプラント) |
| 治療期間 | 4ヶ月 |
| 治療費 | 1,100,000円(税込) |
| リスク・副作用 | メンテナンス不良が生じると歯肉の炎症、骨吸収、過剰な負荷により破断の可能性があります |
| 主訴 | 歯肉が腫れて咬めない |
|---|---|
| 性別 | 男性 |
| 年齢 | 50歳 |
| 治療方法 | 虫歯治療・神経治療・抜歯・精密治療・インプラント・ジルコニア修復 |
| 治療本数 | 28本 |
| 治療費 | 7,000,000円(税込) |
| 治療期間 | 1年 |
| リスク・副作用 | インプラント周囲炎や過度な咬合力により破折や骨吸収を引き起こす可能性があります。 |
| 主訴 | 前歯が折れてる かみ合わせが斜めにズレてる |
|---|---|
| 性別 | 男性 |
| 年齢 | 45歳 |
| 治療方法 | 虫歯治療・骨移植・インプラント・ジルコニア修復 |
| 治療本数 | 7本 |
| 治療費 | 2,200,000円(税込) |
| 治療期間 | 6ヶ月 |
| リスク・副作用 | インプラント周囲炎や過度な咬合力により破折や骨吸収を引き起こす可能性があります。 |
| 主訴 | 前歯に入れ歯を入れているが見た目が悪いのと噛みづらいのでインプラントで治療したい |
|---|---|
| 性別 | 男性 |
| 年齢 | 50代 |
| 所見 | 上の歯5本喪失した部分に取り外し入れ歯を装着されている |
| 治療方法 | 5本歯のないところに3本インプラントを埋め、5本連結のブリッジを装着する |
| 治療費 | 1,925,000円(税込) |
| 治療期間 | 3ヶ月 |
| リスク・副作用 | メンテナンス不良によりインプラント周囲炎を引き起こす可能性があります |
| 主訴 | 差し歯がグラグラする |
|---|---|
| 性別 | 男性 |
| 年齢 | 40代 |
| 所見 | 神経治療をしている左上前歯の差し歯が折れてグラグラしている。歯肉が腫れている。 |
| 治療方法 | 折れている左上の前歯を抜歯し即日インプラント治療を行う 骨の少ないところには人工骨を補填に仮歯を装着。2.5ヶ月仮歯で生活いただき、その後、オーラルスキャナーにて型を採取し人工歯を装着する |
| 治療費 | 537,000円(税込) |
| 治療期間 | 3ヶ月 |
| 治療回数 | 4回 |
| リスク・副作用 | メインテナンスを怠った場合に歯周病に罹患する可能性があります。また外傷など過度な衝撃で歯が欠けてしまう可能性があります |
| 主訴 | 前歯が折れて治したい 他院で歯を抜かなければならないと言われたが残したい |
|---|---|
| 性別 | 女性 |
| 年齢 | 40歳 |
| 治療方法 | 歯保存療法・精密神経治療・骨移植・インプラント・セラミック修復 |
| 治療本数 | 3本(2本歯の保存療法 1本インプラント) |
| 治療期間 | 4ヶ月 |
| 治療費 | 1,100,000円(税込) |
| リスク・副作用 | メンテナンス不良が生じると歯肉の炎症、骨吸収、過剰な負荷により破断の可能性があります |
| 主訴 | 前歯が折れてる かみ合わせが斜めにズレてる |
|---|---|
| 性別 | 男性 |
| 年齢 | 45歳 |
| 治療方法 | 虫歯治療・骨移植・インプラント・ジルコニア修復 |
| 治療本数 | 7本 |
| 治療費 | 2,200,000円(税込) |
| 治療期間 | 6ヶ月 |
| リスク・副作用 | インプラント周囲炎や過度な咬合力により破折や骨吸収を引き起こす可能性があります。 |
| 主訴 | 左上の奥歯がないところにインプラントを入れたい |
|---|---|
| 性別 | 女性 |
| 年齢 | 50代 |
| 所見 | 歯を喪失してから10年以上放置しており顎の骨を吸収・退縮を認める |
| 治療方法 | インプラントを埋めるだけの骨量が不足しているため、人工骨により骨造成(サイナスリフト)を行う。静脈内鎮静法により寝た状態で手術をし、半年後に骨が固まってからインプラントを植立する2回法を用いる |
| 治療費 | 352,000円(税込) |
| 治療期間 | 手術1回 6ヶ月間骨が固まるのを待つ |
| リスク・副作用 | 一時的に鼻出血・術後感染により治癒期間が延期される場合があります |
| 主訴 | 奥歯がないところにインプラントを検討していたが他院で骨がないと言われた |
|---|---|
| 性別 | 男性 |
| 年齢 | 50代 |
| 所見 | CTレントゲン診査で奥歯の歯の喪失した部位の骨を計測した結果、残っている骨の高さが5ミリ程度しか認められない |
| 治療方法 | インプラントの長期安定性に必要な骨の高さが不十分なため、インプラント手術と同時にサイナスリフト(横の歯肉から人工骨の移植を行い骨を造成させる)を併用する事で問題を解決する事とする。残存骨が4−6ミリの範囲であればインプラントと同時に骨造成術が可能であり、手術を2回に分ける必要がなく、患者さんにとっても低侵襲の手術が可能となる。 |
| 治療費 | サイナスリフト 275,000円(税込) |
| 治療期間 | 手術1回 4ヶ月間骨が固まるのを待つ |
| リスク・副作用 | 一時的に鼻出血・術後感染などにより治癒期間が延期される場合があります |
| 主訴 | 前歯の見た目を改善したい 歯が欠けてきて滲みる |
|---|---|
| 性別 | 女性 |
| 年齢 | 60歳 |
| 治療方法 | セラミック修復 |
| 治療本数 | 4本 |
| 治療回数 | 3回 |
| 治療費 | 600,000円(税込) |
| リスク・副作用 | 過剰な負荷がかかった際に破断する可能性があります |
| 主訴 | 前歯が折れて治したい 他院で歯を抜かなければならないと言われたが残したい |
|---|---|
| 性別 | 女性 |
| 年齢 | 40歳 |
| 治療方法 | 歯保存療法・精密神経治療・骨移植・インプラント・セラミック修復 |
| 治療本数 | 3本(2本歯の保存療法 1本インプラント) |
| 治療期間 | 4ヶ月 |
| 治療費 | 1,100,000円(税込) |
| リスク・副作用 | メンテナンス不良が生じると歯肉の炎症、骨吸収、過剰な負荷により破断の可能性があります |
| 主訴 | 銀歯を白いものに変えたい |
|---|---|
| 性別 | 女性 |
| 年齢 | 40歳 |
| 治療方法 | 金属除去・虫歯除去・ジルコニア修復 |
| 治療回数 | 2回 |
| 治療費 | 220,000円(税込) |
| リスク・副作用 | 過剰な咬合力で脱離・破断の可能性があります |
| 主訴 | 歯肉が腫れて咬めない |
|---|---|
| 性別 | 男性 |
| 年齢 | 50歳 |
| 治療方法 | 虫歯治療・神経治療・抜歯・精密治療・インプラント・ジルコニア修復 |
| 治療本数 | 28本 |
| 治療費 | 7,000,000円(税込) |
| 治療期間 | 1年 |
| リスク・副作用 | インプラント周囲炎や過度な咬合力により破折や骨吸収を引き起こす可能性があります。 |
| 主訴 | 前歯が折れてる かみ合わせが斜めにズレてる |
|---|---|
| 性別 | 男性 |
| 年齢 | 45歳 |
| 治療方法 | 虫歯治療・骨移植・インプラント・ジルコニア修復 |
| 治療本数 | 7本 |
| 治療費 | 2,200,000円(税込) |
| 治療期間 | 6ヶ月 |
| リスク・副作用 | インプラント周囲炎や過度な咬合力により破折や骨吸収を引き起こす可能性があります。 |
| 主訴 | 前歯を綺麗にしたい |
|---|---|
| 性別 | 女性 |
| 年齢 | 40代 |
| 所見 | 前歯の歯並びが不揃いで大きく突出している 歯のねじれも認める 古い虫歯治療の跡が見られる |
| 治療方法 | 今回は全体的な矯正治療というよりかは特に上の前歯3本を治したいとの事で、神経治療はせず、他歯の虫歯治療と共にジルコニア修復で治す事となった |
| 治療費 | 550,000円(税込) |
| 治療回数 | 4回 |
| リスク・副作用 | 外傷など過度な外部衝撃により破損や脱離を起こす可能性があります |
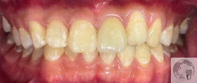
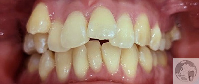
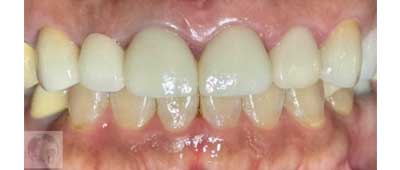
| 主訴 | ガムを噛んだら前歯がグラグラする |
|---|---|
| 性別 | 男性 |
| 年齢 | 20歳 |
| 所見 | 左側の前歯は神経治療がなされており、金属の土台にプラスチック冠が装着されていたがその土台と歯の根元の一部が破断されており、歯が揺れている |
| 治療方法 | 幸い抜歯に至るまでの損傷ではないため、土台をグラスファイバーで補強し直しジルコニア冠で作りなおし機能と審美を回復する |
| 治療費 | 204,000円(税込) |
| 治療回数 | 3回 |
| リスク・副作用 | 再度過剰な衝撃が加わった場合に破断する可能性があります。またメインテナンス不良により歯肉の腫れが生じる可能性があるため、定期的な管理が必要となります。 |
| 主訴 | 前歯の被せ物の見た目が悪いので改善したい |
|---|---|
| 性別 | 女性 |
| 年齢 | 60代 |
| 所見 | 前歯に古い被せ物が入っており経年劣化により摩耗・変色・二次虫歯が発症している |
| 治療方法 | 古い冠を除去し虫歯除去後ジルコニアクラウンにて修復する |
| 治療本数 | 3歯 |
| 治療回数 | 3回 |
| 治療費 | 600,000円(税込) |
| 治療リスク | メインテナンスを怠った場合、歯周病を引き起こす可能性があります。また過度な衝撃により、破断を起こすことがあります。 |
| 主訴 | 前歯の変色、被せ物が合っていないのが気になる 左右の歯の色・形を揃えたい |
|---|---|
| 性別 | 女性 |
| 年齢 | 40代 |
| 所見 | 古くなった被せ物の不適合が見られ、歯の変色と軽度齲蝕が見られる |
| 治療方法 | ジルコニアクラウンで修復する |
| 治療本数 | 4本 |
| 治療回数 | 3回 |
| 治療費 | 740,000円(税込) |
| 治療リスク | メインテナンス不良の場合、歯肉炎を誘発する可能性があります。 過度な咬合力で破折の可能性があります。 |
| 主訴 | 前歯の隙間が黒く見えて気になる |
|---|---|
| 性別 | 女性 |
| 年齢 | 50歳 |
| 治療方法 | ダイレクトボンディング修復 |
| 治療回数 | 1回 |
| 治療費 | 44,000円(税込) |
| リスク・副作用 | 過剰な咬合力により破断の可能性があります |
| 主訴 | 歯がかけた |
|---|---|
| 性別 | 男性 |
| 年齢 | 30歳 |
| 治療方法 | ダイレクトボンディング |
| 治療回数 | 1回 |
| 治療費 | 44,000円(税込) |
| リスク・副作用 | 咬合力により破断の可能性があります |
| 主訴 | 前歯の隙間が気になる |
|---|---|
| 性別 | 男性 |
| 年齢 | 30歳 |
| 治療方法 | コンポジットレジン修復 |
| 治療回数 | 1回 |
| 治療費 | 3,000円(税込) |
| リスク・副作用 | 接着力不足による破断、経年劣化による変色 |
| 主訴 | 前歯がかけた |
|---|---|
| 性別 | 男性 |
| 年齢 | 26歳 |
| 治療方法 | コンポジットレジン修復 |
| 治療回数 | 1回 |
| 治療費 | 3,000円(税込) |
| リスク・副作用 | 接着力不足による破断や材料劣化による変色 |
| 主訴 | 歯肉が腫れて咬めない |
|---|---|
| 性別 | 男性 |
| 年齢 | 50歳 |
| 治療方法 | 虫歯治療・神経治療・抜歯・精密治療・インプラント・ジルコニア修復 |
| 治療本数 | 28本 |
| 治療費 | 7,000,000円(税込) |
| 治療期間 | 1年 |
| リスク・副作用 | インプラント周囲炎や過度な咬合力により破折や骨吸収を引き起こす可能性があります。 |
| 主訴 | 前歯が折れてる かみ合わせが斜めにズレてる |
|---|---|
| 性別 | 男性 |
| 年齢 | 45歳 |
| 治療方法 | 虫歯治療・骨移植・インプラント・ジルコニア修復 |
| 治療本数 | 7本 |
| 治療費 | 2,200,000円(税込) |
| 治療期間 | 6ヶ月 |
| リスク・副作用 | インプラント周囲炎や過度な咬合力により破折や骨吸収を引き起こす可能性があります。 |
| 主訴 | 他院で治療した歯が噛むと痛く違和感ある |
|---|---|
| 性別 | 女性 |
| 年齢 | 50代 |
| 所見 | 神経治療がなされており、プラスチック冠が装着されている。適合も不良で隙間が確認され、かつ神経治療材にも隙間が確認され、感染が起きていることが推測される。歯の診査では打診(コンコン叩くと)で痛みある。 |
| 治療方法 | 顕微鏡下で以前の薬を全て除去、再度感染部位を切削洗浄し精密根管治療を行う |
| 治療回数 | 2回 |
| 治療費 | 77,000円(税込) |
| リスク・副作用 | 破折が認められた場合には今後抜歯の可能性がある。また症状が改善されない場合、根尖切除の必要性があります。 |
| 主訴 | 歯を白くしたい |
|---|---|
| 性別 | 男性 |
| 年齢 | 40代 |
| 所見 | 定期的にクリーニングは受けているが歯の黄ばみが気になってきたという事で日常的にコーヒーをよく飲むため、歯の変色が認める。 |
| 治療方法 | オフィスホワイトニング |
| 治療回数 | 2回 |
| 治療費 | 55,000円(税込) |
| リスク・副作用 | 数年後に後戻りの可能性があります 一時的に歯が敏感になり染みやすくなります |
| 主訴 | ホワイトニングのメインテナンスをしたい |
|---|---|
| 性別 | 女性 |
| 年齢 | 20代 |
| 所見 | 定期的にクリーニング、ホワイトニングを受けており白さは維持されているが、艶・白みがわずかに軽減しているため改善させる。 |
| 治療方法 | オフィスホワイトニング |
| 治療回数 | 2回 |
| 治療費 | 55,000円(税込) |
| リスク・副作用 | 数年後に後戻りの可能性があります 一時的に歯が敏感になり染みやすくなります |
| 主訴 | 歯並びを改善したい |
|---|---|
| 性別 | 女性 |
| 年齢 | 30代 |
| 所見 | 全体的に歯並びが不正で特に前歯の突出が認められる。 |
| 治療方法 | 小臼歯(中間の歯)を抜歯しマウスピース矯正を行う |
| 治療費 | 1,200,000円(税込) |
| 治療期間 | 1.4年 |
| リスク・副作用 | 後戻りの可能性があります 一時的に歯肉の退縮により知覚過敏症状が出る可能性があります マウスピース装着中軽度に発音障害を感じる可能性があります。 |